案例展示
爱护牙齿的您,方法对了吗?
发布日期:2011/9/20

      侯小姐,也是一位很害怕看牙的人,平时很注意保护自己的牙齿,一天刷牙三次(比我这个专业人士做的都好),但刷牙时会有出血的情况。开始,她只是同她先生来看牙,我帮她先生解决好牙齿问题后,她先生觉得非常好,于是尝试着在我们这洗下牙,检查下牙齿。
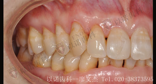
      她的问题是:横着刷牙的错误刷牙方法导致了上牙列有多颗牙齿缺损,牙结石较多,牙周炎。
      解决办法:  洗牙,牙周系列治疗,补牙齿,口腔教育和全面的口腔护理指导。

治疗前 

治疗后


治疗前

治疗后




      侯小姐感觉良好,同时也纠正了多年的错误刷牙方法,所以,提醒大家爱护牙齿,同时要使用正确的刷牙方法,免得适得其反。
[ 返回 ]